Entering a World of Pink

a male breast cancer blog

Skip to content
  • Blog Posts
  • My Journey
  • Trials & Research
    • Clinical Trials
    • Summary of Recent Research
    • paper report
  • Videos

Month: January 2017

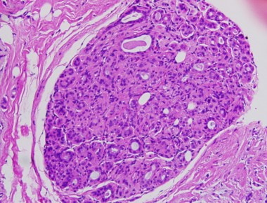
DCIS is the precursor lesion for most #malebreastcancer similar to female

  • by oliverbogler
  • Posted on January 24, 2017January 20, 2017
  • paper report

Male breast cancer precursor lesions: analysis of the EORTC 10085/TBCRC/BIG/NABCG International Male Breast Cancer Program. Doebar SC, Slaets L, Cardoso F, Giordano SH, Bartlett JM, Tryfonidis K, Dijkstra NH, Schröder CP, van Asperen CJ, Linderholm […]

Read More

next gen sequencing finds BRCA1/BRCA2 mutations in “negative” #malebreastcancer patients

  • by oliverbogler
  • Posted on January 19, 2017January 20, 2017
  • Uncategorized

Retesting BRCA1/BRCA2 mutation negative male breast cancer patients using next generation sequencing technologies Piera Rizzolo Valentina Silvestri and Laura Ottini Breast Cancer Res Treat DOI 10.1007/s10549-017-4108-9 Background BRCA1 and BRCA2 are well known, high penetrance […]

Read More

Enter your email address to receive notifications of new posts.

Join 3,129 other subscribers

Search This Site:

Tags

advice advocacy art audio awarenessproject biology biopsy book breast-cancer breast-health cancer care chemo clinicaltrial community diagnosis education funding funny genomicmedicine guything hormone imaging news news coverage participate personalizedmedicine pink radiation therapy research resource response scary screening sideeffects socialmedia support surgery survivorship therapy treatment visualization

Archives

  • July 2025
  • December 2023
  • February 2023
  • December 2021
  • August 2021
  • March 2021
  • February 2021
  • April 2020
  • March 2020
  • March 2019
  • September 2018
  • January 2017
  • October 2016
  • September 2016
  • August 2016
  • May 2016
  • April 2016
  • March 2016
  • February 2016
  • December 2015
  • September 2015
  • July 2015
  • June 2015
  • April 2015
  • January 2015
  • December 2014
  • November 2014
  • September 2014
  • June 2014
  • March 2014
  • February 2014
  • December 2013
  • October 2013
  • September 2013
  • July 2013
  • June 2013
  • May 2013
  • April 2013
  • March 2013
  • February 2013
  • January 2013
  • December 2012
  • November 2012
  • October 2012
  • September 2012

Top Posts & Pages

  • day 27 lucky in the month of pink
  • day 259 - the sweet sound of the bell as I complete my treatment for male breast cancer
  • Inspiring the minds of the best and brightest of the next generation: please consider supporting an undergraduate student's participation in AACR Annual Meeting
  • Breast not Chest - why calling #malebreastcancer by its correct name is critical
  • I joined a new clinical trial for my chemo-induced neuropathy
  • day 137 - decision point FAC: decision is to complete the remaining two cycles of FAC
  • my photoshoot with David Jay for the SCAR Project: Male Breast Cancer
Blog at WordPress.com.
  • Subscribe Subscribed
    • Entering a World of Pink
    • Join 140 other subscribers
    • Already have a WordPress.com account? Log in now.
    • Entering a World of Pink
    • Subscribe Subscribed
    • Sign up
    • Log in
    • Report this content
    • View site in Reader
    • Manage subscriptions
    • Collapse this bar